Sherman Silber, a surgeon at the Infertility Center of St. Louis, offers women a procedure that he claims will put their biological clocks on ice.
Sherman Silber, a surgeon at the Infertility Center of St. Louis, offers women a procedure that he claims will put their biological clocks on ice.
Courtesy of Infertility Center of St. LouisWhen Sarah Gardner was 34, she started getting really worried about whether she'd ever have kids.
"I bought this kit online that said that they could tell you your ovarian reserve," Gardner, now 40, says. These kits claim they can tell women how long their ovaries will continue producing eggs and how much time they have left to get pregnant.
"Well, mine said, 'we advise really you have a baby now.' Well, sadly that letter arrived three weeks after I just split up with my long-term partner. So, yeah, it opened a massive can of worms really," she says.
That can of worms eventually led Gardner to Sherman Silber, a surgeon at the Infertility Center of St. Louis. Silber offers women a procedure that he claims will basically put their biological clocks on ice.
"It stops the clock, which is an incredible power to have," Gardner says. "You know, the biological clock is every woman's demon, really."
What Silber offers is a surgical procedure that removes part or all of an ovary so it can be frozen and then transplanted back when a woman is ready to try to have children.
"We can take the ovary out of a young woman or part of an ovary ... and we can freeze it," Silber says. "And when she's 51-years-old we can transplant that tissue that's been frozen for the last 20 or 25 years and lo-and-behold she's got a 20-year-old ovary, and it'll last for another 50 years."
But no one hoping to stop their biological clock has actually gotten pregnant with the help of Silber's procedure. And using ovarian transplant this way is controversial. It was developed for women with medical problems that would damage their ovaries, mostly cancer patients getting chemotherapy.
"It is not a procedure that should be done electively for women to preserve fertility just to reduce ... the decline in fertility as women age," says Glenn Schattman, president of the Society of Assisted Reproductive Technology. "It really should be reserved for patients that are at imminent risk of losing their fertility in the very near short-term."
Cancer patients really have no other options, Schattman says. No one really knows how well it works for other women, especially years or even decades later.
"We know there are 21 pregnancies that have been achieved in the world [after the procedure]. We don't know what the denominator is: how many procedures have been done to achieve those 21 pregnancies," Schattman says.
The only women who have gotten pregnant with an ovarian transplant are cancer patients. And Silber is one of just a handful of doctors doing this for patients just trying to beat their biological clocks.
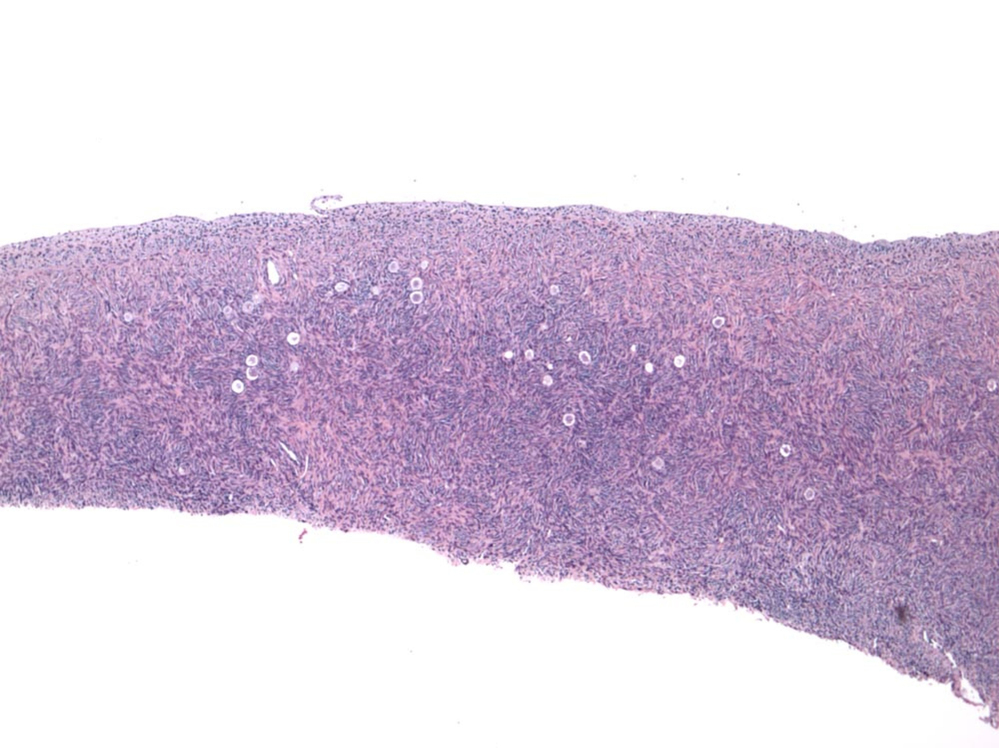
Doctors use tissue slides like this one of the ovary's outer cortex to confirm a woman's ovarian reserve. It's also the the ovary tissue that's removed in an ovarian transplant.
Doctors use tissue slides like this one of the ovary's outer cortex to confirm a woman's ovarian reserve. It's also the the ovary tissue that's removed in an ovarian transplant.
Courtesy of the Infertility Center of St. LouisThe surgical procedures and the freezing and thawing are relatively safe and easy. But any procedure carries some risks. And Schattman says, some eggs are inevitably lost.
"When you transplant the tissue back into somebody you are going to lose some of the eggs in the ovarian tissue. And so you are aging the ovarian tissue," Schattman says.
For all these reasons, Schattman and other infertility experts recommend women worried about preserving their fertility do something else: just freeze some of their eggs.
"We have a known success rate with egg-freezing. We do not have a known success rate with ovarian-tissue freezing," Schattman says.
Other infertility experts agree.
"If we convince ourselves that we this procedure guarantees our fertility for the future we may say, 'Well, OK, then let me just take the next eight years and take this degree and finish this project, open up a new business because I have this guarantee,'" says Kutluk Oktay of the New York Medical College. "And then in the end it turns out that actually that guarantee was not there."
But Silber says the success for cancer patients makes it clear the procedure would work for other women as well.
"If you say that we don't have evidence for ovary-freezing working and that's experimental, that's kind of baloney," Silber says. "It is not experimental anymore. It really is a very robust procedure."
In fact, Silber argues it avoids the risks of egg-freezing, like having to inject women with lots of powerful hormones.
For her part, Sarah Gardner tried egg freezing, but it didn't work out for her. So she's happy she had the opportunity to pay $8,000 to freeze one of her ovaries.
"It took a lot of pressure off you know that whole having to find the guy and get it done you know and get to have children. There is no time limit for me now. They can defrost it at any point and put it back in," Gardner says.
Gardner knows there are no guarantees. That after all this, it may not end up working. But for now, she's just grateful for the hope that it will.





